为 科 技 工 作 者 服 务 为 创 新 驱 动 发 展 服 务 为 提 高 全 民 科 学 素 质 服 务 为 党 和 政 府 科 学 决 策 服 务
2024年09月16日 星期一
焦点新闻
科技前沿
科普生活
天府人才
在川院士
科技工作者
乡土人才
微人物
地方报道
成都
绵阳
德阳
自贡
攀枝花
泸州
广元
遂宁
内江
乐山
南充
宜宾
广安
达州
眉山
巴中
雅安
资阳
阿坝
甘孜
凉山
乡村振兴
脱贫攻坚“回头看”
乡村振兴资讯
新风新貌
一线故事
农业技术
创新创业
科教兴川
教育在线
高校之窗
基层学校
科技小记者
畅游科普共享基地
走近科学家
优秀作品展
科技夏(冬)令营
首页
地方报道
乐山
地方报道
成都
绵阳
德阳
自贡
攀枝花
泸州
广元
遂宁
内江
乐山
南充
宜宾
广安
达州
眉山
巴中
雅安
资阳
阿坝
甘孜
凉山
峨边县:以实体经济为支撑 推动现代化产业体系建设
9月13日,四川省乐山市推进高质量发展系列主题新闻发布会之峨边彝族自治县专场于乐山市政府新闻办公室举办。会上,峨边县相关负责人围绕“建设以实体经济为支撑的现代化产业体系”为主题,对如何坚持科技创新引领、扎实推进高质量发展作了情况介绍,并现场作答。据了解,峨边在四川省委确定的“四类地区”中,属脱贫地区、民族地区、盆周山区,也是四川省乡村振兴25个重点帮扶县之一。2023年,峨边县实现规模以上工业增加
吴晨熹 四川科技报记者 苏文保
|
1天前
839点击
井研县举办第七个“中国农民丰收节”庆祝活动暨井研县第四届乡村文化振兴魅力乡镇竞演大赛
9月8日,以“学用‘千万工程’ 礼赞丰收中国”为主题的2024年井研县第七个“中国农民丰收节”庆祝活动暨第四届乡村文化振兴魅力村镇竞演大赛在乐山市研溪湿地公园举行,来自15个镇(街道)的参演队伍,以镇(街道)代言和特色表演的模式展开竞演。活动现场,舞蹈《丰年稻香》《快乐露营日》《书香舞韵》,歌曲《风吹麦浪》《我爱你中国》,魔术表演《中国风》,非遗表演《非遗里的“龙”之纯复飞龙》等精彩节目依次登场,
四川科技报记者 苏文保
|
6天前
940点击
“精”心练习 “卫”你护航
——2024年乐山市精神卫生服务技能大赛成功举办
8月29日至30日,2024年乐山市严重精神障碍管理治疗能力提升暨精神卫生防治技能竞赛继续教育培训在乐山市精神卫生中心多功能学术厅成功举办,来自全市各区县卫健局分管领导、精神科医护人员、基层医疗机构精防人员共200余人参加培训。本次培训暨技能大赛由乐山市卫生健康委员会主办,乐山市精神卫生中心承办。开班仪式上,市精神卫生中心党委副书记、中心主任周庆华发表致辞,对出席本次大会的领导、专家和同仁们表示热
张菁
|
12天前
1061点击
沐川县:厚植生态底色 强力推动县域经济高质量发展
8月30日,乐山市政府新闻办公室举行乐山市推进高质量发展系列主题新闻发布会之沐川县专场。记者从发布会上获悉,沐川县积极发挥生态优势,做大做强“一根竹、一叶茶、一颗芋”,逐步探索出一条独具特色的绿色发展之路。沐川县副县长伍刚介绍,作为长江上游的重要生态屏障,沐川县历来重视生态文明建设,森林覆盖率提升至78.83%,近年来更是以前所未有的力度推进生态环境保护,关闭1200多家土法造纸作坊,整治散乱污企
四川科技报记者 苏文保
|
13天前
1138点击
金口河区:“金银科技赋能”老党员工作室“三个一”助力乡村产业发展
近期,乐山市金口河区老科协“金银科技赋能”老党员工作室结合全区乡村振兴重点工作,围绕乡村产业发展、品牌建设等方面深入一线开展指导培训,切实发挥退休干部党员先锋模范作用和经验优势作用,助力全区农业产业向好发展。深入一线调研产业发展。组织开展以生猪养殖、农业园区建设、中药材种植、茶产业品牌打造等为主要内容的课题调研活动4场次。形成《金口河绿色低碳高质量发展调研报告》等调研报告4篇,其中《发挥品牌作用、
邹旭 四川科技报记者 苏文保
|
19天前
1356点击
专家实地巡诊 助力金口河区产业发展
为更好助力乐山市金口河区的创业产业发展及创业服务,由金口河区就业创业促进中心主办,乐山市乐创汇承办的为期两天的2024年创业项目巡诊活动于8月22日顺利结束。本次巡诊活动,乐山市乐创汇负责人、四川省创业导师陈建华联合乐山市农科院原经作所所长、正高级农艺师程俐及乐山市林业局高级农技师邱东昀组成专家组,对金口河区域内包括种养殖、文旅、餐饮等类型在内的6个创业项目开展一对一实地巡诊服务。金河镇的杨玉辉在
四川科技报记者 苏文保
|
20天前
1555点击
先德飞:万里援非践“医”心
“我看天气预报,这几天乐山很热,你要注意防暑,照顾好自己。”“我会把家照顾好,不用担心,安心去上班,加油。” 8月12日,佛得角普拉亚市晚上十点,中国(四川)第21批援佛得角医疗队队员、退役军人、乐山市中医医院麻醉科医生先德飞和妻子微信视频。“在普拉亚4个月了,虽然两地时差9小时,但我们也找到了‘见面’规律。”先德飞说,思念,是几乎所有援非医生必经的“心灵大考”。心中纵有万般不舍,但远行的脚步不能
田雨婷
|
25天前
1425点击
乐山市精神卫生中心开展庆祝第七个中国医师节系列活动
8月15日,乐山市精神卫生中心举行医师节系列庆祝活动暨表扬大会,弘扬医者的人文关怀和仁心仁术。市精神卫生中心班子成员、百余名干部职工出席活动。系列庆祝活动由市精神卫生中心“大讲堂”团队主持,他们精心筹划、组织,确保活动圆满举行。活动伊始,市精神卫生中心副主任马杰发表了热情洋溢的致辞,他对全体医师的辛勤工作和无私奉献表示崇高的敬意。随后,全体医师在优秀医师代表张慧敏的领誓下,庄严宣誓,充分表达医者对
张菁 黄梓芮
|
26天前
1495点击
乐山市中医医院举行庆祝第七个中国医师节文艺汇演暨表扬大会
8月16日,乐山市中医医院举行庆祝第七个中国医师节文艺汇演暨表扬大会。此次大会对中医药知识竞赛获奖者、法律就在身边演讲比赛获奖者、优秀带教科室、优秀教学秘书、优秀带教老师、优秀住培学员、优秀医疗组长、优秀医师进行表扬,希望广大医师和医务工作者忠实践行“敬佑生命、救死扶伤、甘于奉献、大爱无疆”的崇高职业精神,继续发挥中医特色优势,围绕国家所需、人民急盼,坚持守正创新,加强学科建设,提升服务能力,促进
田雨婷
|
27天前
1680点击
2024中国乐山·马边彝族风情狂欢节暨第八届小凉山火把节开幕
8月16日晚,2024中国乐山·马边彝族风情狂欢节暨第八届小凉山火把节在乐山市马边彝族自治县红旗新区市政广场正式开幕。开幕式上,一场浪漫的烟花秀点亮小凉山的夜空 火把节是彝族最隆重、最盛大的传统节日之一,有悠久的历史渊源、深厚的文化底蕴、丰富的精神内涵,千百年来薪火相传、历久弥新,被形象地称为“东方的狂欢节”。开幕式上,马边还对2021年以来为马边乡村振兴、经济社会发展、对外交
四川科技报记者 苏文保
|
29天前
1711点击
犍为县人民医院:医者有温度 锦旗寄真情
8月15日上午,办理完出院手续的患者王某将一面印有“医术精湛,医德高尚”的锦旗送到了乐山市犍为县人民医院内五科,表达对宋茂明主治医师及内五科全体医护人员的感激之情。日前,王某因血糖高,尿酮体呈阳性,出现严重头昏乏力、恶心呕吐症状入院就诊,内五科医疗团队迅速制定了个性化治疗方案,给予消酮、降糖处理。同时,根据患者已出现的并发症,积极控制,对症治疗。在医护人员的精心治疗下,患者血糖控制良好,复查尿酮体
曾玉玲
|
08-16 16:03
1649点击
特重度烧伤患者“浴火重生”
——乐山市中医医院烧伤、整形外科“德技双馨”创救治奇迹
“你好,是中医院吗?我们有一个工人被烧伤了,要马上送来医院,麻烦你们安排下接诊。”接到电话后,乐山市中医医院立即部署,医护人员严阵以待。“医生,我们已到乐山。”“放心,我们一切准备就绪,只等你们到来。”…… ……7月23日凌晨3点30分,一辆车快速驶到乐山市中医医院急诊科门口,等候在此的医护人员小心翼翼地把患者从车后座抬移到医用担架车上,疾速推进烧伤、整形外科,一场与时间赛跑的生命救援就此拉开序幕
田雨婷 陈远航
|
08-15 16:51
1678点击
犍为县人民医院:分级诊疗见实效 优质医疗惠民生
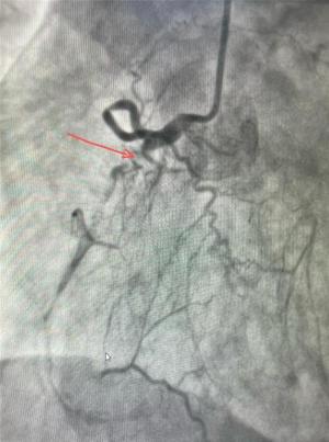
近日,患者李女士将一面写有“医德高尚医术精 情系病患暖人心”的锦旗送至犍为县人民医院心血管内科,对副主任彭宇、管床医生谢加文的倾心服务表示高度认可和衷心感谢。患者李某某,一年前出现活动后心累、胸闷、双下肢水肿等情况,在当地医院治疗效果欠佳,病情反复。今年6月15日病情再次加重,到犍为县人民医院心血管内科治疗,经心电图、冠脉造影等检查,显示患者三支血管重度病变,且伴有长节段慢性完全性闭塞,由于患者病
张斌
|
08-14 17:43
1916点击
夹江县中医医院召开“三乙”复审工作推进会
为深入学习和深刻领会三级乙等医院复审的评审体系及具体实施细则,提高全院职工对“三乙”复审工作的思想认识,营造浓厚氛围,确保“三乙”复审工作有序、有力、有效推进,近日,乐山市夹江县中医医院召开“三乙”复审工作推进会,就“三乙”复审准备工作进行再动员、再发动、再部署,同时医院还与各科室目标责任人签订了目标责任书。会上,院复审办负责人对《夹江县中医医院“三乙”复审工作方案》《三级中医医院评审标准实施细则
张全军
|
08-12 17:35
1860点击
夹江县应急救护知识培训讲座活动走进居民小区
为进一步增强公众急救意识,提高自救互救能力,促进“社会大急救”事业更好更快发展,更好地为人民群众提供优质的医疗急救服务,近日,乐山市夹江县中医医院组织急诊科医护人员走进居民小区开展“应急救护知识培训讲座活动”。活动现场,医院急诊科医师都详细介绍了现场急救、自救、互救以及拨打120急救电话技巧以及急救过程中的注意事项,分别就心肺复苏术、人工呼吸法、成人和孩子气道梗阻急救、创伤救护等紧急救护技能方面进
张全军
|
08-12 17:31
1897点击
热点推荐
HOT
微信公众号
新浪微博
头条号
人民号
map